Узбекистан

11.08.2021 | 10:48

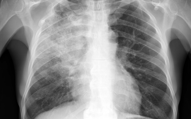
За прошедшие сутки в Узбекистане умерли еще 4 человека от пневмонии — статистика

Публикуем актуальную статистику по зараженным пневмонией в стране.

За прошедшие сутки в Узбекистане умерли еще 4 человека от пневмонии — статистика

На 9 августа 2021 года пневмония была диагностирована у 457 человек, в результате чего общее количество заболевших достигло 15399 человек, сообщает Минздрав.

Вчера 584 из них выздоровели. Общее количество выздоровевших достигло 8121.

Кроме того, 4 пациента умерли. Всего в республике от пневмонии умерли 103 человека. 

telegramБольше новостей о здоровье в Телеграм-каналеПодписаться

Популярные новости