В сердце молодого человека попала булавка, ее удалили

Булавка попала в сердце через желудок.

В сердце молодого человека попала булавка, ее удалили

Фото: Stock

17-летний молодой человек попал в больницу с жалобами на сильную острую боль в груди. Боль усиливалась при глубоком дыхании. Врачи были уверены, что у парня воспаление сердечной мышцы и окружающей мембраны. 

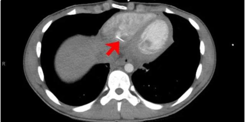
Медики повезли подростка на томографию, где выяснилось, что в сердце застряло инородное тело около 3,5 сантиметров в длину. Юноша признался, что сам себе шьет вещи и когда он в очередной раз держал во рту булавку, нечаянно ее проглотил. Во время операции хирурги подтвердили, что это была действительно булавка. 

Специалисты считают, что игла попала в сердце напрямую из желудка или из пищевода. 

telegramБольше новостей о здоровье в Телеграм-каналеПодписаться

Популярные новости