Парк «Янги Узбекистон» готов к новогодним праздничным мероприятиям
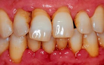
Стало понятно, зачем нужно немедленно заняться лечением десен
Врач рассказал о факторах, определяющих срок смерти от коронавируса
Pepsi предлагает окунуться в новогоднюю атмосферу и получить незабываемые эмоции в преддверии самого волшебного праздника
Мясников: молоко может привести к раку — подробности
Участник группы Queen заразился коронавирусом
Иммунолог рассказал, кто может легко перенести омикрон-штамм коронавируса
В Узбекистане установили официальные выходные дни на 2022 год – календарь
В Наманганской области «Нексия» влетела под грузовик – есть пострадавшие
Стало известно, кто чаще всего попадает в больницу с коронавирусом
Выяснилось, за что мигрантам могут сократить срок пребывания в России
Центр современных профессий PROWEB предлагает начать Новый год с новыми знаниями с эксклюзивной скидкой только для читателей Repost
Воспользуйтесь услугами Paymart и получите возможность выиграть автомобиль Chevrolet Spark и другие ценные призы
В Ташобласти погиб студент от мощного удара током
Убивший женщину-оператора актер Алек Болдуин был задержан со своей супругой
BMW сняла рождественский фильм со звездами кино
4 игрока «Барселоны» будут выставлены на трансфер в январе
Рангник рассматривает Дало в качестве ключевого игрока «Манчестер Юнайтед»
Клоппу не понравилось отсутствие санитайзера в пресс-центре «Тоттенхэма»: «У вас 13 случаев ковида. Мне приходится трогать стул»
«Манчестер Юнайтед» определился с новым исполнительным директором клуба
Можно ли давать детям играть планшет? Отвечает нейропсихолог
После обвинений в изнасиловании, актер Крис Нот потерял крупную сделку на 12 миллионов долларов
В Великобритании было выявлено 10 тысяч заражений штаммом омикрон – он доминирует в стране
«В среднем смерть при коронавирусе наступает через три-четыре недели после заражения», – вирусолог об омикроне
«Реал» планирует обменять своего нападающего на защитника «Севильи»
Бердымухамедов поручил дипломатам брать с собой книги и журналы, чтобы популяризовать Туркменистан
Камила Гимандинова призналась, что хотела покончить жизнь самоубийством
«В следующем году спрос будет сложным», — в Сырдарье предупредили ответственных за строительство
Узбекистанцам, которые сбросили вес, будут выплачивать вознаграждение
Магазин ювелирных изделий с бриллиантами «Алмаз» предлагает приобрести подарки близким к Новому году
Трамп выступил против бойкота Олимпиады в Пекине
Давайте посчитаем, сколько людей ждут свои автомобили от UzAuto, не включая в список модели Spark, Gentra, Nexia и Cobalt
Щекотка: что это такое, почему мы не можем щекотать себя и как данное действие является проявлением внимания?
Виталий Кличко высказался о политических взглядах Усика
Сына экс-кандидата в президенты Беларуси заподозрили в экстремизме
Президент «ПСЖ» прокомментировал травму Рамоса
Пользователи осудили Валю Карнавал за то, что та не остановилась перед поклонниками - видео
Врач обнаружил у беременной пациентки ребенка в печени
В Узбекистане госорганы продолжают использовать Twitter даже после блокировки: сенатор Фарход Бокиев рассказал для кого публикуются твиты
Курс доллара в Узбекистане повысился
Пользователи шипперят Leo17 с одним из узбекских блогеров, узнайте его имя - видео
Социальная дистанция против коронавируса уже не защитит: о чем еще говорят врачи?
Вылетели из турнира: «Тоттенхэму» присудили техническое поражение в отмененном из-за ковида матче ЛК с «Ренном»
В Янгиюле от инспекторов требуют выполнять «план», штрафуя по 2 человека в день
Lightyear One – «солнечный» электрокар, у которого бесконечный запас хода
Ученые разработали лекарство от тяжелой формы COVID-19
Директор «ПСЖ» о Месси: «Он непререкаем. Если вы его обсуждаете, то вы ничего не поняли в футболе»
Папа Римский назвал домашнее насилие «дьявольским»
Клопп о календаре АПЛ: «Еще до коронавируса расписание было напряженным, а сейчас это вообще, как удар под дых»
Какие обезболивающие препараты опасны для жизни и здоровья?
Диетолог рассказала, какие продукты помогут сохранить здоровье кишечника
В Душанбе задержаны мужчины, подозреваемые в избиении двух 15-летних девушек за внешний вид
Мгновенные денежные переводы от АКБ «Капиталбанк»: порадуйте близких в преддверии Нового года
Легенду UFC задержали за драку в фешенебельном отеле
Актер Мухаммад Али заявил, что его новый сериал будет лучше, чем новый фильм о «Человеке-пауке»
Ильназ Галявиев заявил на допросе, что знал об отсутствии охраны в школе
А вы знали, что означают надписи на шинах? Рассказываем, о чем говорят цифры и буквы
Омикрон может убить даже уже выздоровевшего человека — говорят врачи
Есть ли противопоказания при вакцинации от коронавируса людям с психическими расстройствами?
Леонардо: «ПСЖ» не связывался с Зиданом или любым другим тренером»
Режиссер «Трансформеров» выставил на продажу машины из своих фильмов: там есть и знаменитый Bumblebee
Почему утром неприятно пахнет изо рта?
Все знают, что брокколи обладают положительными свойствами, но в именно чем заключается их польза?
Том Холланд, Эндрю Гарфилд или Тоби Магуайр: Кто стал самым высокооплачиваемым Человеком-пауком?
«Никаких ограничений на празднование Нового года в общеобразовательных школах нет», - МНО
Названа область, в которой хуже всего налажено снабжение питьевой воды
Анчелотти назвал клуб, который является главным конкурентом «Реала» в чемпионате Испании
Жители Ташкента смогут бесплатно доехать до главной новогодней елки
Ученые обнаружили, что одно из широко используемых препаратов способно бороться с тяжелой формой коронавируса
Samsung представляет 130-дюймовый лазерный проектор The Premiere для ценителей инноваций и роскоши
НБА ввела правило, разрешающее клубам подписывать игроков на замену заразившимся коронавирусом
Хоким Кашкадарьинской области раскритиковал узбекские свадьбы из-за их дороговизны
Надо вот так: эксперт объясняет узбекистанцам, как правильно мыть автомобиль зимой
Эндрю Гарфилд вернется к своей роли «Человека-паука» в нескольких проектах Marvel
Чемпионат Азии по каратэ пройдет в Ташкенте в 2022 году
Американке удалось найти украденные рождественские украшения с помощью AirTag от Apple
Узнайте, чем полезно торможение двигателем: плюсов очень много
Между рынком «Куйлюк» и Чирчиком запустили новый пригородный автобусный маршрут
Жители Андижана издевались над пойманным во дворе дома волком
Актер Том Харди стал самым главным мемом TikTok, зацените несколько роликов с его участием
Студент из Казахстана пошутил в TikTok, что устроит стрельбу в школе - полиция не оценила юмор и взяла его на контроль
С экс-президента Кыргызстана Аскара Акаева сняли все обвинения по делу «Кумтора»
IJF опубликовала результаты лучших спортсменов в различных номинациях
Спойлер! Стал известен финал сериала «Ведьмак»
Иммунолог объяснил, чем ПЦР-тест отличается от экспресс-теста
Для Ташкента в самый раз: на продажу выставили уникальный «ЗИЛ» со встроенным хлебозаводом
Главный тренер «Ливерпуля» в ярости от судейства в матче с «Тоттенхэмом»
Борьба продолжиться: Юлдуз Усманова подала аппеляцию в суд на автора Йулчи Рузиева, который обвинял ее в плагиате его песни
Перечисляем список фраз, после которых вас точно «кинут на бабки» в автосервисе
В сети появились редкие кадры Билли Айлиш, когда она была ребёнком
Шахзода Мухаммедова рассказала, смогла бы она бесплатно сшить наряд для своего поклонника
Водителей Ашхабада заставляют перекрашивать черные детали автомобилей
После успешной премьеры «Человек-паук: Нет пути домой» Marvel анонсировал четвертую часть кинокартины
Узбекские власти напомнили талибам о необходимости соблюдать права женщин
В США женщина родила в Tesla на переднем сидении, пока машина ехала на автопилоте
Депутатам кенгаша Джизакской области запретили задавать вопросы хокиму Эргашу Салиеву: Расул Кушербаев не остался в стороне, устроив на этой почве скандал
В Ташкенте за неделю загорелся уже второй пассажирский автобус
Сколько человек заразились коронавирусом в Узбекистане за воскресенье 19 декабря?
Глава UFC назвал самый ожидаемый бой 2022 года
Кемеровский суд установил вину чиновника госстройнадзора по делу «Зимней вишни»
UzAuto Motors прекращает принимать заказы на автомобили
МНО обнародовало запреты и ограничения на празднование Нового года в школах Узбекистана
Проливной дождь затопил улицы Намангана - видео
Экс-советник президента Афганистана: «Ашраф Гани скрыл бегство от США, поскольку больше не доверял им»
Порядка 20 товарных вагонов сошли с рельсов в результате столкновения двух грузовых поездов в Ангрене - видео
В Санкт-Петербурге неизвестные напали на узбекистанца: пострадавший госпитализирован в тяжёлом состоянии
Эмоциональное выгорание: как «зажечь» себя снова?
В Вене тысячи людей почтили память жертвам пандемии коронавируса — фото
Президент Чехии Земан опроверг слухи о том, что он болен